こどもも大人も通いやすく、安心して治療を受けられるよう
スタッフ一同心がけております。

初めまして、院長の豊嶋陽子と申します。
九州大学病院矯正歯科での研修後、勤務医を経て、 茶山「豊嶋歯科・矯正歯科」の院長として 10年間診療を行い、平成30年6月に六本松に移転してまいりました。

「六本松矯正歯科クリニックとよしま」では、 患者さんそれぞれのお悩みを理解し、 誠実に治療をおこなうことをモットーとし、 治療情報の開示と十分な説明を心がけております。  また緊張する歯科治療を少しでも快適に、 安心して受けていただけるよう、スタッフ一同、 相談しやすい雰囲気作りを心がけております。

歯や口腔周囲組織は私たちが1年365日欠かさず使う、 食事や発音するための大事な器官です。 歯並びを整えることで、将来的なむし歯・歯周病の予防にも繋がります。 患者さんには矯正治療を通じ、お口の健康への関心を高め、 治療後も口腔ケアを続け「予防する」人になっていただき、 生涯にわたる健康な状態を保ってもらいたいと考えています。

院長 豊嶋陽子

カウンセリングを大切にしています。

当院ではカウンセリングに十分な時間を取り、矯正治療についての一般的なご説明、起こりうるリスク、そしてその方に最適な治療計画、かかる費用などをしっかりお話しし、十分ご理解いただけるよう努めております。

目立たない矯正にも対応しています。

当院では一般的な【マルチブラケット矯正】はもちろん、表から見えにくい 【舌側矯正】、【マウスピース型矯正装置】などに対応しています。 患者様のご希望やご予算に合わせて最適な矯正治療をお選びいただけます。

完全個室でお子様連れでもOKです。

診療室は、ゆとりある完全個室設計で、 お子様連れでも気兼ねなくご来院いただけます。 また、カウンセリングルームも 個室になっていますので、安心してご相談いただけます。

カウンセリング患者様のご都合にあわせたお支払が可能です。

お支払いは、医院窓口、銀行振込、カード決済からお選びいただけます。また、分割でのお支払いも可能で、 分割による金利や手数料もかかりません(分割回数制限あり)。

アクセス良好

地下鉄七隈線六本松駅より徒歩3分 西鉄バス別府橋バス停目の前でアクセス良好。 駐車場も3台完備しています。

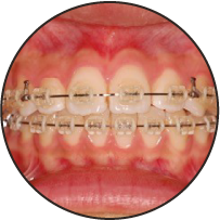
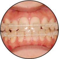
マルチブラケット矯正装置

歯の表側に装置を取り付け、 ワイヤーの弾力を利用して歯列を整える最も一般的な装置です。

01 メタルブラケット

メタルブラケットは、金属色が目立つという難点がありますが、その特性により、薄くて丈夫です。 また、他の装置に比べて、比較的低コストで治療を行えます。

02 クリアブラケット

樹脂製の透明ブラケットです。

03 セラミックブラケット

矯正装置が目立つことを気にされる方には、このセラミックブラケットに白いワイヤーを用いる方法をお勧めしています。 歯になじむ自然な装置でありながらも舌側矯正より価格が安いことが利点です。

舌側矯正装置

矯正装置を舌側(裏側)にすることでほとんど気づかれない矯正方法です。リンガル矯正とも呼ばれています。 話をする時に見えやすい上の歯のみ舌側矯正にする方法も選択できます。

マウスピース型矯正装置

自身で取り外しのできる透明なマウスピースを用い、歯を動かします。 透明なのでつけていても目立たない・食事の時は外すので制限なく何でも食べられる・ブラッシングがしやすい一方で、細かい調整が難しいことや、歯並びによっては治療できないといった制限もあります。

部分的に気になる所だけ治す方法です。軽度の凸凹、すきっ歯、などが適応です。被せ物やブリッジの治療をする前に、その歯の位置を修正する目的でも行います。また歯周病治療の一環として、動いた歯を戻すために行うこともあります。 ただし、前歯のガタガタが気になるといった方でもその原因は様々で、部分的な治療だけで治療するのは困難な場合も多くあります。治療が可能かどうかは実際にお口を拝見しないと判断できかねます。

読み込み中... 読み込み中...
トップ
top page
当院の紹介
introduction
こどもの矯正
childrens orthodontics
大人の矯正
adults orthodontics
目立たない矯正
invisible orthodontics
その他の診療
other menus
費用について
price
よくある質問
faq
アクセス
Access
ご予約・お問い合わせ
reserve